子供の矯正
・顔のバランスが良くなる
・顎の骨の成長を正常にする
・永久歯の生える環境を良くする
・虫歯を予防できる
・顎の骨の成長を正常にする
・永久歯の生える環境を良くする
・虫歯を予防できる
・不正な噛み合わせによる悪い癖を予防できる
乳歯と永久歯の混合歯列の時期に矯正を始めることをPhase1(第一期治療)といいます。
この時期前歯と6歳臼歯が生えて完成する時期です。この時期の矯正は、前歯or臼歯が反対
もしくは部分的なズレを生じるなど、残りの永久歯が完全に生えるまでに、顎の骨の発育を
妨げないよう考慮し、最小限度の治療により、少しでも永久歯の生えやすい環境にしておく
ための治療です。この治療はあくまでも永久歯の矯正のファーストステップとお考え下さい。
※指しゃぶり、舌癖、爪噛みなどの悪い癖を直すためにも早期治療は効果的です。
この時期前歯と6歳臼歯が生えて完成する時期です。この時期の矯正は、前歯or臼歯が反対
もしくは部分的なズレを生じるなど、残りの永久歯が完全に生えるまでに、顎の骨の発育を
妨げないよう考慮し、最小限度の治療により、少しでも永久歯の生えやすい環境にしておく
ための治療です。この治療はあくまでも永久歯の矯正のファーストステップとお考え下さい。
※指しゃぶり、舌癖、爪噛みなどの悪い癖を直すためにも早期治療は効果的です。
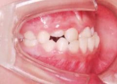
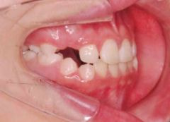
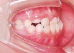
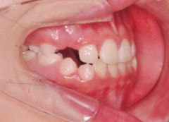
子供の矯正治療例
・顔のバランスが良くなる
・顎の骨の成長を正常にする
・永久歯の生える環境を良くする
・虫歯を予防できる
・顎の骨の成長を正常にする
・永久歯の生える環境を良くする
・虫歯を予防できる
・不正な噛み合わせによる悪い癖を予防できる
乳歯と永久歯の混合歯列の時期に矯正を始めることをPhase1(第一期治療)といいます。
この時期前歯と6歳臼歯が生えて完成する時期です。この時期の矯正は、前歯or臼歯が反対
もしくは部分的なズレを生じるなど、残りの永久歯が完全に生えるまでに、顎の骨の発育を
妨げないよう考慮し、最小限度の治療により、少しでも永久歯の生えやすい環境にしておく
ための治療です。この治療はあくまでも永久歯の矯正のファーストステップとお考え下さい。
※指しゃぶり、舌癖、爪噛みなどの悪い癖を直すためにも早期治療は効果的です。
この時期前歯と6歳臼歯が生えて完成する時期です。この時期の矯正は、前歯or臼歯が反対
もしくは部分的なズレを生じるなど、残りの永久歯が完全に生えるまでに、顎の骨の発育を
妨げないよう考慮し、最小限度の治療により、少しでも永久歯の生えやすい環境にしておく
ための治療です。この治療はあくまでも永久歯の矯正のファーストステップとお考え下さい。
※指しゃぶり、舌癖、爪噛みなどの悪い癖を直すためにも早期治療は効果的です。
子供の矯正治療例
すべての乳歯が永久歯に生え変わるか、もしくは生え変わる直前に行う治療をPhase2(第二期治療)といいます。個々の歯の生えるスピードが違う為、何歳と特定はできませんが、一般的に顎の骨の発育を考慮した年齢で、11~14歳位が開始時期になります。乳歯に特別の問題がない限りこの時期からの矯正が適正とお考え下さい。矯正治療時期に関しては、個々の成長に合わせたオーダーメイドになる為始める時期が早いから良いということではありません。
悪い歯並びは、虫歯を作りやすくします。
●このような症状がある場合は要注意。ご来院をお勧めします。
■ 悪い舌癖がある。
■ 歯ぎしりをする。
■ いつまでも生えてこない歯がある。
■ 両親の歯並びが悪い場合の遺伝要素。
■ ぶつけたりして歯の位置がずれたり抜けてしまった。
■ 乳歯が重なって生えている。
■ 口でばかり呼吸をする。
■ 出っ歯。
■ 受け口。
■ 顔のバランスが左右違う。
■ 早いうちに乳歯が抜けてしまった。
■ 頬の内側を噛みやすい。
■ 指しゃぶりをする。
■ 発音に問題がある。
すべての乳歯が永久歯に生え変わるか、もしくは生え変わる直前に行う治療をPhase2(第二期治療)といいます。個々の歯の生えるスピードが違う為、何歳と特定はできませんが、一般的に顎の骨の発育を考慮した年齢で、11~14歳位が開始時期になります。乳歯に特別の問題がない限りこの時期からの矯正が適正とお考え下さい。矯正治療時期に関しては、個々の成長に合わせたオーダーメイドになる為始める時期が早いから良いということではありません。
悪い歯並びは虫歯を作りやすくします。
●このような症状がある場合は要注意。ご来院をお勧めします。
■ 悪い舌癖がある。
■ 歯ぎしりをする。
■ いつまでも生えてこない歯がある。
■ 両親の歯並びが悪い場合の遺伝要素。
■ ぶつけたりして歯の位置がずれたり抜けてしまった。
■ 乳歯が重なって生えている。
■ 口でばかり呼吸をする。
■ 出っ歯。
■ 受け口。
■ 顔のバランスが左右違う。
■ 早いうちに乳歯が抜けてしまった。
■ 頬の内側を噛みやすい。
■ 指しゃぶりをする。
●このような症状がある場合は要注意。ご来院をお勧めします。
■ 悪い舌癖がある。
■ 歯ぎしりをする。
■ いつまでも生えてこない歯がある。
■ 両親の歯並びが悪い場合の遺伝要素。
■ ぶつけたりして歯の位置がずれたり抜けてしまった。
■ 乳歯が重なって生えている。
■ 口でばかり呼吸をする。
■ 出っ歯。
■ 受け口。
■ 顔のバランスが左右違う。
■ 早いうちに乳歯が抜けてしまった。
■ 頬の内側を噛みやすい。
■ 指しゃぶりをする。
■ 発音に問題がある。