あなたの現在の横顔に、レントゲンによる骨格と歯のデータを重ね合わせ、矯正治療後のシミュレーションを初診でご覧頂くことが出来ます。矯正治療を始める前に、コンピューターとデジタルデータを使用して、あなたの治療後を予測できるシステムです。
初診相談と治療予測シミュレーション費用 3,300円(消費税込み)
ステップ1. ご来院
ステップ2. デジタルカメラで顔の写真撮影
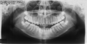
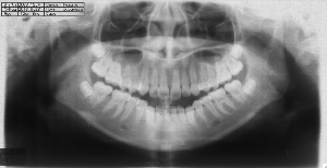
ステップ3. レントゲン(パノラマ、セファロ)撮影・口腔内写真撮影
横顔のレントゲン及び実際の横顔のデジタル画像のコンピューターへの入力の後、あなたの骨格、歯の状態に合わせて、治療を受けた場合の横顔の変化のシュミレーションを行います。
ステップ4. 説明(60分)
• おおまかな治療予定・期間等の説明(最終診断は次回の検査後に行われます)
• コンピューターによるシミュレーションの結果説明
• 過去の治療例に基づいた説明 etc
• 料金・当院の治療システムの説明
※所要60分/初診料、パノラマ・セファロレントゲン代含
※必ず予約してください。
初診相談のご予約について
初めてご来院の方はなるべく先生の話がゆっくり聞ける日にご来院ください。
ステップ4. 説明(60分)
• おおまかな治療予定・期間等の説明(最終診断は次回の検査後に行われます)
• コンピューターによるシミュレーションの結果説明
• 過去の治療例に基づいた説明 etc
• 料金・当院の治療システムの説明
※所要60分/初診料、パノラマ・セファロレントゲン代含
※必ず予約してください。
初診相談のご予約について
初めてご来院の方はなるべく先生の話がゆっくり聞ける日にご来院ください。
当院は完全予約制です。無断キャンセル、当日キャンセルは他の患者様のご予約に支障をきたしますので
ご遠慮ください。
ご遠慮ください。
あなたの現在の横顔に、レントゲンによる骨格と歯のデータを重ね合わせ、矯正治療後のシミュレーションを初診で
ご覧頂くことが出来ます。矯正治療を始める前に、コンピューターとデジタルデータを使用して、あなたの治療後を
予測できるシステムです。
初診相談と治療予測シミュレーション費用
初診相談と治療予測シミュレーション費用
3,300円(消費税込み)
ステップ1. ご来院
ステップ2. デジタルカメラで顔の写真枚撮影
ステップ3. レントゲン(パノラマ、セファロ)撮影・口腔内写真撮影
横顔のレントゲン及び実際の横顔のデジタル画像のコンピューターへの入力の後、あなたの骨格、歯の状態に合わせて、治療を受けた場合の横顔の変化のシュミレーションを行います。
ステップ4. 説明
• おおまかな治療予定・期間等の説明(最終診断は次回の検査後に行われます)
• コンピューターによるシュミレーションの
ステップ4. 説明
• おおまかな治療予定・期間等の説明(最終診断は次回の検査後に行われます)
• コンピューターによるシュミレーションの
結果説明
• 過去の治療例に基づいた説明 etc
• 料金・当院の治療システムの説明
※所要60分/初診料、パノラマ・セファロ レントゲン代含 ※必ず予約してください。
初診相談のご予約について
初めてご来院の方はなるべく先生の話がゆっくり聞ける日にご来院ください。
• 過去の治療例に基づいた説明 etc
• 料金・当院の治療システムの説明
※所要60分/初診料、パノラマ・セファロ レントゲン代含 ※必ず予約してください。
初診相談のご予約について
初めてご来院の方はなるべく先生の話がゆっくり聞ける日にご来院ください。
当院は完全予約制です。無断キャンセル、当日キャンセルは他の患者様のご予約に支障をきたしますのでご遠慮ください。
熊本Office 初診相談日程表
下記の日程表に初診相談のご予約日程を記載しております。
ご希望の日時をお問合せフォームより記入・送信お願い致します。
また、他の日程をご希望の場合は直接お電話にてお問い合わせ頂きますよう
お願い致します。ご予約の空き状況をご案内させて頂きます。
TEL 096-351-2280
| 初診 相談日 |
9/6 (土) |
9/7 (日) |
9/13 (土) |
9/20 (土) |
9/27 (土) |
| 10:00~ | × 受付終了 |
× 受付終了 |
× 受付終了 |
× 受付終了 |
× 受付終了 |
| 11:00~ | × 受付終了 |
× 受付終了 |
× 受付終了 |
× 受付終了 |
× 受付終了 |
| 12:00~ | × 受付終了 |
× 受付終了 |
× 受付終了 |
× 受付終了 |
× 受付終了 |
| 13:00~ | × 受付終了 |
× 受付終了 |
× 受付終了 |
× 受付終了 |
× 受付終了 |
| 14:00〜 | × 受付終了 |
× 受付終了 |
× 受付終了 |
× 受付終了 |
× 受付終了 |
| 初診 相談日 |
10/4 (土) |
10/5 (日) |
10/11 (土) |
10/18 (土) |
10/25 (土) |
| 10:00~ | ⚪︎ 受付可 |
⚪︎ 受付可 |
⚪︎ 受付可 |
⚪︎ 受付可 |
⚪︎ 受付可 |
| 11:00~ | ⚪︎ 受付可 |
⚪︎ 受付可 |
⚪︎ 受付可 |
⚪︎ 受付可 |
⚪︎ 受付可 |
| 12:00~ | ⚪︎ 受付可 |
⚪︎ 受付可 |
⚪︎ 受付可 |
⚪︎ 受付可 |
⚪︎ 受付可 |
| 13:00~ | ⚪︎ 受付可 |
⚪︎ 受付可 |
⚪︎ 受付可 |
⚪︎ 受付可 |
⚪︎ 受付可 |
| 14:00〜 | ⚪︎ 受付可 |
⚪︎ 受付可 |
⚪︎ 受付可 |
⚪︎ 受付可 |
⚪︎ 受付可 |
※八代 Office のご予約につきましては、随時お電話にて受け付けております。
TEL 0965-32-3571
熊本Office 初診相談日程表
下記の日程表に初診相談のご予約日程を記載しております。
ご希望の日時をお問合せフォームより記入・送信お願い致します。
また、他の日程をご希望の場合は直接お電話にてお問い合わせ頂きますよう
お願い致します。ご予約の空き状況をご案内させて頂きます。
TEL 096-351-2280
| 初診 相談日 |
9/6 (土) |
9/7 (日) |
9/13 (土) |
9/20 (土) |
9/27 (土) |
| 10:00~ | × 受付終了 |
× 受付終了 |
× 受付終了 |
× 受付終了 |
× 受付終了 |
| 11:00~ | × 受付終了 |
× 受付終了 |
× 受付終了 |
× 受付終了 |
× 受付終了 |
| 12:00~ | × 受付終了 |
× 受付終了 |
× 受付終了 |
× 受付終了 |
× 受付終了 |
| 13:00~ | × 受付終了 |
× 受付終了 |
× 受付終了 |
× 受付終了 |
× 受付終了 |
| 14:00〜 | × 受付終了 |
× 受付終了 |
× 受付終了 |
× 受付終了 |
× 受付終了 |
| 初診 相談日 |
10/4 (土) |
10/5 (日) |
10/11 (土) |
10/18 (土) |
10/25 (土) |
| 10:00~ | ◯ 受付可 |
◯ 受付可 |
◯ 受付可 |
◯ 受付可 |
◯ 受付可 |
| 11:00~ | ◯ 受付可 |
◯ 受付可 |
◯ 受付可 |
◯ 受付可 |
◯ 受付可 |
| 12:00~ | ◯ 受付可 |
◯ 受付可 |
◯ 受付可 |
◯ 受付可 |
◯ 受付可 |
| 13:00~ | ◯ 受付可 |
◯ 受付可 |
◯ 受付可 |
◯ 受付可 |
◯ 受付可 |
| 14:00〜 | ◯ 受付可 |
◯ 受付可 |
◯ 受付可 |
◯ 受付可 |
◯ 受付可 |
※八代 Office の初診相談のご予約につきましては、随時お電話にて受け付けております。
TEL 0965-32-3571