矯正装置の種類
矯正装置にも多くの種類があり使用する患者さんによってもさまざまですが、ここでは一般的な装置をご紹介いたします。
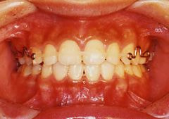
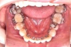
金属(メタル)ブラケット
メリット
* 装置についた汚れがわかりやすい
* 歯みがきしやすい
デメリット
* 目立ちやすい
審美ブラケット
メリット
* 目立ちにくい
* 歯みがきしやすい
*ホワイトワイヤーとの組み合わせで更に目立ちにくくなりました。
デメリット
* 装置についた汚れがわかりにくい
* 若干コストが高くなります
※基本的に、金属・セラミックどちらのタイプで治療を行っても期間や効果は変わりません。
当クリニックではホワイトワイヤーの取り扱いをしております。
ワイヤーにホワイトコーティングを行ってあり、審美性が良くなっております。
ワイヤーにホワイトコーティングを行ってあり、審美性が良くなっております。
ホワイトワイヤー 従来のワイヤー
※ホワイトワイヤーをご希望された場合(別途料金必要)使用しております。
メリット
* 発音に影響が少なく、違和感も少ない
デメリット
* 下だけ表側の装置で目立ちにくいが、若干下の装置が見える
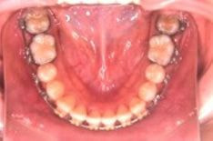
上の歯のみ裏側に装置を装着し、下の歯は表側に装着する方法も選択できます。
これは、下の装置は見えますが、舌の違和感がなくなり、発音しやすいという利点があります。
* 発音に影響が少なく、違和感も少ない
デメリット
* 下だけ表側の装置で目立ちにくいが、若干下の装置が見える
上の歯のみ裏側に装置を装着し、下の歯は表側に装着する方法も選択できます。
これは、下の装置は見えますが、舌の違和感がなくなり、発音しやすいという利点があります。
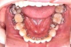
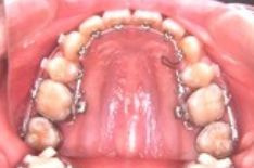
メリット
* 歯の裏側に付ける為、装置が見えない
デメリット
* サ行・タ行の発音が治療当初不明瞭
(2~3ヶ月で慣れてきます)
* 歯みがきが難しい
* 治療当初、舌への違和感がある
* 1回の治療時間が表に比べて長い
大人の方で、仕事の都合でどうしても表側につけられない患者さん向けの方法です。
* 歯の裏側に付ける為、装置が見えない
デメリット
* サ行・タ行の発音が治療当初不明瞭
(2~3ヶ月で慣れてきます)
* 歯みがきが難しい
* 治療当初、舌への違和感がある
* 1回の治療時間が表に比べて長い
大人の方で、仕事の都合でどうしても表側につけられない患者さん向けの方法です。
ワイヤーなどを使う矯正装置とは異なり、取り外しができ、装着していても外見上目立たな
マウスピースタイプの矯正装置です
使用時間、使用方法を守らないと治療効果の得られないテクニックになります。
従って、患者様の協力と強い意志が必要になりますので、十分ご理解の上治療をお受けください。
(尚、すべての歯並びに適応されることはありませんので、精密検査及び説明をお受けください。)
使用時間、使用方法を守らないと治療効果の得られないテクニックになります。
従って、患者様の協力と強い意志が必要になりますので、十分ご理解の上治療をお受けください。
(尚、すべての歯並びに適応されることはありませんので、精密検査及び説明をお受けください。)
矯正装置の種類
矯正装置にも多くの種類があり使用する患者さんによってもさまざまですが、ここでは一般的な装置をご紹介いたします。
金属(メタル)ブラケット
メリット
* 装置についた汚れがわかりやすい
* 歯みがきしやすい
デメリット
* 目立ちやすい
審美ブラケット
メリット
* 目立ちにくい
* 歯みがきしやすい
*ホワイトワイヤーとの組み合わせで更に目立ちにくくなりました。
デメリット
* 装置についた汚れがわかりにくい
* 若干コストが高くなります
※基本的に、金属・セラミックどちらのタイプで治療を行っても期間や効果は変わりません。
当クリニックではホワイトワイヤーの取り扱いをしております。
ワイヤーにホワイトコーティングを行ってあり、審美性が良くなっております。
ワイヤーにホワイトコーティングを行ってあり、審美性が良くなっております。
ホワイトワイヤー 従来のワイヤー
※ホワイトワイヤーをご希望された場合(別途料金必要)使用しております。
メリット
* 発音に影響が少なく、違和感も少ない
デメリット
* 下だけ表側の装置で目立ちにくいが、若干下の装置が見える
上の歯のみ裏側に装置を装着し、下の歯は表側に装着する方法も選択できます。
これは、下の装置は見えますが、舌の違和感がなくなり、発音しやすいという利点が あります。
* 発音に影響が少なく、違和感も少ない
デメリット
* 下だけ表側の装置で目立ちにくいが、若干下の装置が見える
上の歯のみ裏側に装置を装着し、下の歯は表側に装着する方法も選択できます。
これは、下の装置は見えますが、舌の違和感がなくなり、発音しやすいという利点が あります。
メリット
* 歯の裏側に付ける為、装置が見えない
デメリット
* サ行・タ行の発音が治療当初不明瞭
(2~3ヶ月で慣れてきます)
* 歯みがきが難しい
* 治療当初、舌への違和感がある
* 1回の治療時間が表に比べて長い
大人の方で、仕事の都合でどうしても表側につけられない患者さん向けの方法です。
* 歯の裏側に付ける為、装置が見えない
デメリット
* サ行・タ行の発音が治療当初不明瞭
(2~3ヶ月で慣れてきます)
* 歯みがきが難しい
* 治療当初、舌への違和感がある
* 1回の治療時間が表に比べて長い
大人の方で、仕事の都合でどうしても表側につけられない患者さん向けの方法です。
ワイヤーなどを使う矯正装置とは異なり、取り外しができ、装着していても外見上目立たないマウスピースタイプの矯正装置です。
使用時間、使用方法を守らないと治療効果の得られないテクニックになります。
従って、患者様の協力と強い意志が必要になりますので、十分ご理解の上治療をお受けください。
(尚、すべての歯並びに適応されることはありませんので、精密検査及び説明をお受けください。)
使用時間、使用方法を守らないと治療効果の得られないテクニックになります。
従って、患者様の協力と強い意志が必要になりますので、十分ご理解の上治療をお受けください。
(尚、すべての歯並びに適応されることはありませんので、精密検査及び説明をお受けください。)
ワイヤータイプ 前歯の部分だけ透明で マウスピースタイプ
目立ちにくい type
目立ちにくい type