成人矯正
最近では成人してから歯を矯正する方が増えています。(20歳代~50歳代)






これは虫歯、歯周病、歯の喪失などの原因が、多くは歯並びの悪さ、すなわち口の中の環境の悪さが大きな要因であることが、患者さんに理解されてきたからです。また、健康志向の高まり、国際化の背景、美容面も含めた心理的願望など時代の経過により医療技術の進歩、患者さんの知識向上など大きく変化してきた結果でしょう。
・何歳まで矯正治療が可能か…
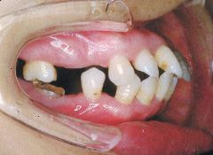
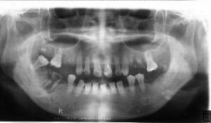
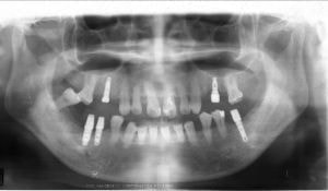
当クリニックでは、60歳代の患者さんも多くおられます。年齢に限らず、お口の中の歯を支える骨や歯肉、歯牙が存在していれば歯は動かせます。
最近は、人工歯の適応症の拡大により天然歯+人工歯(インプラント補綴)にり、本来あるべき歯並びが再現できるようになり、高齢者の患者層が増えてきています。
当クリニックでは、60歳代の患者さんも多くおられます。年齢に限らず、お口の中の歯を支える骨や歯肉、歯牙が存在していれば歯は動かせます。
最近は、人工歯の適応症の拡大により天然歯+人工歯(インプラント補綴)にり、本来あるべき歯並びが再現できるようになり、高齢者の患者層が増えてきています。
・成人における矯正治療の適応症の拡大 (他医院との技術連携)
欧米では、必要に応じて複数の専門医間で、一人の患者さんの治療を行っています。
これにより、より無駄のない高度な治療を患者さんに提供できるからです。日本でも適応症の拡大により、複数の専門技術の連携が必要とされる患者さんが近年増えてきています。
欧米では、必要に応じて複数の専門医間で、一人の患者さんの治療を行っています。
これにより、より無駄のない高度な治療を患者さんに提供できるからです。日本でも適応症の拡大により、複数の専門技術の連携が必要とされる患者さんが近年増えてきています。
成人矯正
最近では成人してから歯を矯正する方が増えています。(20歳代~50歳代)




これは虫歯、歯周病、歯の喪失などの原因が、多くは歯並びの悪さ、すなわち口の中の環境の悪さが大きな要因であることが、患者さんに理解されてきたからです。また、健康志向の高まり、国際化の背景、美容面も含めた心理的願望など時代の経過により医療技術の進歩、患者さんの知識向上など大きく変化してきた結果でしょう。
・何歳まで矯正治療が可能か…
当クリニックでは、60歳代の患者さんも多くおられます。年齢に限らず、お口の中の歯を支える骨や歯肉、歯牙が存在していれば歯は動かせます。
最近は、人工歯の適応症の拡大により天然歯+人工歯(インプラント補綴)にり、本来あるべき歯並びが再現できるようになり、高齢者の患者層が増えてきています。
当クリニックでは、60歳代の患者さんも多くおられます。年齢に限らず、お口の中の歯を支える骨や歯肉、歯牙が存在していれば歯は動かせます。
最近は、人工歯の適応症の拡大により天然歯+人工歯(インプラント補綴)にり、本来あるべき歯並びが再現できるようになり、高齢者の患者層が増えてきています。
・成人における矯正治療の適応症の拡大 (他医院との技術連携)
欧米では、必要に応じて複数の専門医間で、一人の患者さんの治療を行っています。
これにより、より無駄のない高度な治療を患者さんに提供できるからです。日本でも適応症の拡大により、複数の専門技術の連携が必要とされる患者さんが近年増えてきています。
欧米では、必要に応じて複数の専門医間で、一人の患者さんの治療を行っています。
これにより、より無駄のない高度な治療を患者さんに提供できるからです。日本でも適応症の拡大により、複数の専門技術の連携が必要とされる患者さんが近年増えてきています。
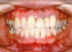
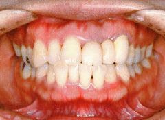
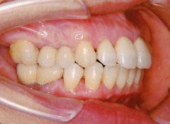
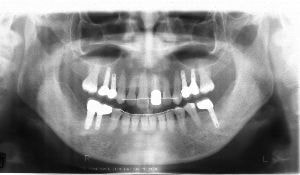
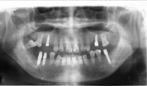
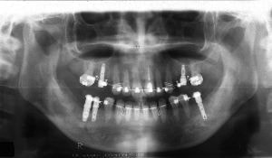
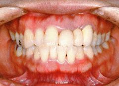
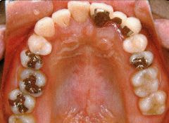
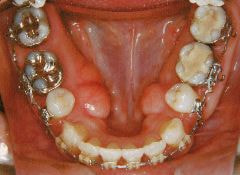
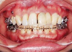
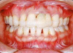
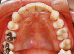
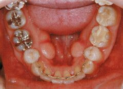
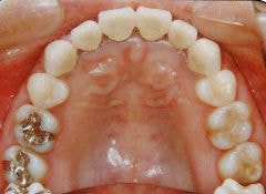
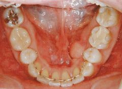
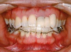
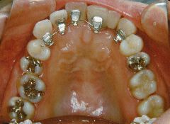
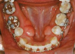
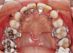
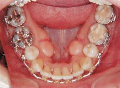
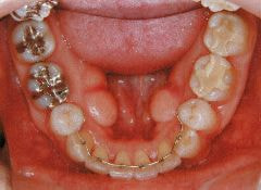
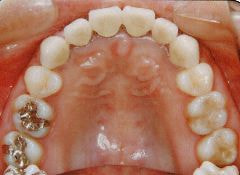
治療例1 (インプラント補綴+矯正)












治療例1 (インプラント補綴+矯正)












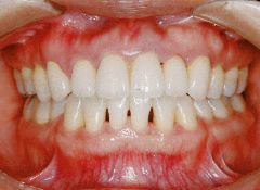
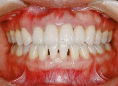
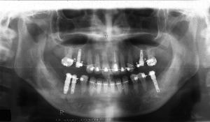
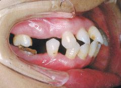
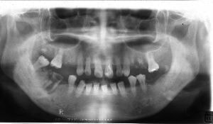
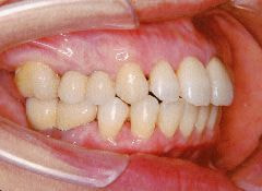
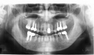
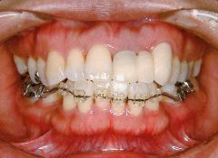
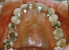
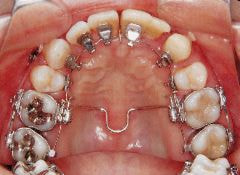
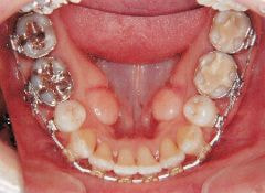
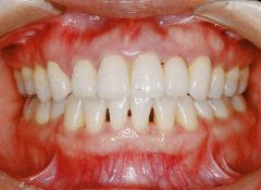
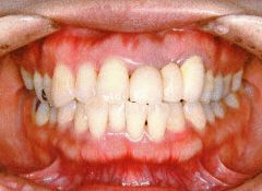
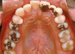
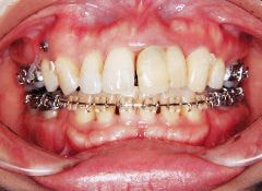
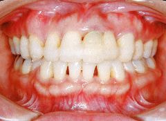
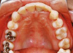
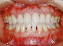
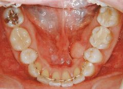
治療例2 (補綴処置+矯正)
























治療例2 (補綴処置+矯正)























