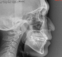
あなたの現在の横顔に、レントゲンによる骨格と歯のデータを重ね合わせ、矯正治療後のシミュレーションを初診で
ご覧頂くことが出来ます。矯正治療を始める前に、コンピューターとデジタルデータを使用して、あなたの治療後を
予測できるシステムです。
矯正治療の進め方について
ステップ1. ご来院
⬇︎
ステップ2. デジタルカメラで顔の写真撮影
⬇︎
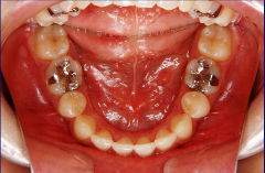
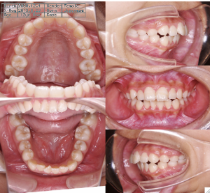
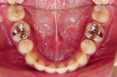
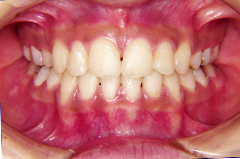
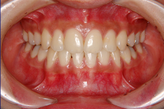
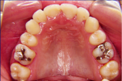
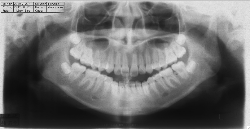
ステップ3. レントゲン (パノラマ,セファロ)撮影 口腔内写真撮影
⬇︎
ステップ2. デジタルカメラで顔の写真撮影
⬇︎
ステップ3. レントゲン (パノラマ,セファロ)撮影 口腔内写真撮影
横顔のレントゲン及び実際の横顔のデジタル画像のコンピューターへの入力の後、
あなたの骨格、歯の状態に合わせて、治療を受けた場合の横顔の変化のシュミレーションを行います。
⬇︎
ステップ4. 説明
ステップ4. 説明
• おおまかな治療予定・期間等の説明(最終診断は次回の検査後に行われます)
• コンピューターによるシミュレーションの結果説明
• 過去の治療例に基づいた説明 etc
• 料金・当院の治療システムの説明
※所要60分/初診料、パノラマ・セファロレントゲン代含
※必ず予約してください。
• コンピューターによるシミュレーションの結果説明
• 過去の治療例に基づいた説明 etc
• 料金・当院の治療システムの説明
※所要60分/初診料、パノラマ・セファロレントゲン代含
※必ず予約してください。
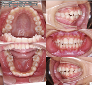
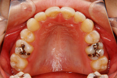
ステップ5.精密検査
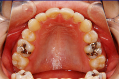
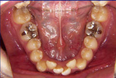
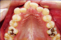
口腔内写真,レントゲン
(必要に応じてCT)
印象(歯型)採得
⬇︎
ステップ6.診断・説明
上記の資料を元に診断を行い治療方法や治療期間などの説明を行ます。
⬇︎
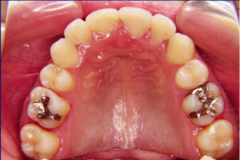
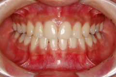
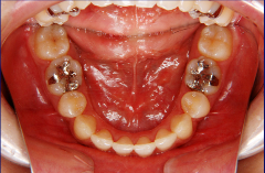
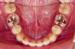
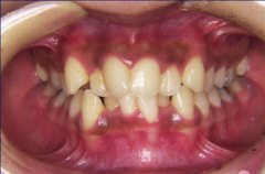
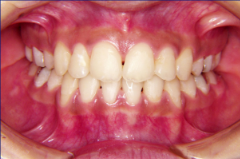
ステップ7.治療開始
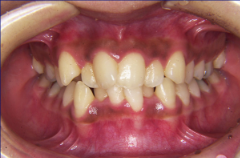
装置装着前
装置装着後
※治療期間について
元の歯ならびの状態にもよりますが、
通常約1年から2年ぐらいです。
ステップ8.装着撤去&保定治療開始
ステップ9. 矯正治療終了
ステップ8.装着撤去&保定治療開始
ステップ9. 矯正治療終了
矯正治療の進め方について
ステップ1. ご来院
⬇︎
ステップ2. デジタルカメラで顔の写真を3枚撮影
⬇︎
ステップ2. デジタルカメラで顔の写真を3枚撮影
⬇︎
ステップ3. レントゲン(パノラマ、セファロ)撮影・口腔内写真撮影
ステップ3. レントゲン(パノラマ、セファロ)撮影・口腔内写真撮影
横顔のレントゲン及び実際の横顔のデジタル画像のコンピューターへの入力の後、
あなたの骨格、歯の状態に合わせて、治療を受けた場合の横顔の変化のシュミレーションを行います。
⬇︎
ステップ4. 説明
ステップ4. 説明
• おおまかな治療予定・期間等の説明(最終診断は次回の検査後に行われます)
• コンピューターによるシミュレーションの結果説明
• 過去の治療例に基づいた説明 etc
• 料金・当院の治療システムの説明
※所要60分/初診料、パノラマ・セファロレントゲン代含
※必ず予約してください。
• コンピューターによるシミュレーションの結果説明
• 過去の治療例に基づいた説明 etc
• 料金・当院の治療システムの説明
※所要60分/初診料、パノラマ・セファロレントゲン代含
※必ず予約してください。
⬇︎
ステップ5.精密検査
口腔内写真、レントゲン(必要に応じて CT )、印象(歯型)採得
⬇︎
ステップ6.診断・説明
上記の資料を元に診断を行い治療方法や治療期間などの説明を行ます。
⬇︎
ステップ7.治療開始
装置装着前
装置装着後
※治療期間について
元の歯ならびの状態にもよりますが、通常約1年から2年ぐらいです。
ステップ8.装着撤去&保定治療開始
ステップ9. 矯正治療終了