


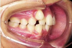
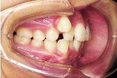
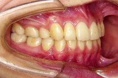
主訴:ガタつきを治したい(13歳)
診断:Class 1 叢生歯列弓
抜歯部位:上下左右4番抜歯
※矯正装置はメタルブラケット(表のタイプ)を使用
歯を動かす期間:2年4ヶ月
矯正基本料は52万円+消費税
処置料¥5,000+消費税×2年4ヶ月
矯正治療のリスクや副作用:カリエスの可能性、歯肉炎の可能性
診断:Class 1 叢生歯列弓
抜歯部位:上下左右4番抜歯
※矯正装置はメタルブラケット(表のタイプ)を使用
歯を動かす期間:2年4ヶ月
矯正基本料は52万円+消費税
処置料¥5,000+消費税×2年4ヶ月
矯正治療のリスクや副作用:カリエスの可能性、歯肉炎の可能性


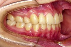
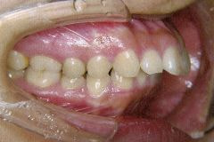
主訴:出っ歯を治したい(20歳)
診断:Class 2 上顎前突
抜歯部位:上顎左右4番抜歯
※矯正装置はクリアブラケット(表のタイプ)を使用
歯を動かす期間は2年5ヶ月
矯正基本料は57万円+消費税
処置料¥5,000+消費税×2年5ヶ月
矯正治療のリスクや副作用:カリエスの可能性、歯肉炎の可能性
診断:Class 2 上顎前突
抜歯部位:上顎左右4番抜歯
※矯正装置はクリアブラケット(表のタイプ)を使用
歯を動かす期間は2年5ヶ月
矯正基本料は57万円+消費税
処置料¥5,000+消費税×2年5ヶ月
矯正治療のリスクや副作用:カリエスの可能性、歯肉炎の可能性


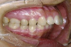
主訴:反対咬合を治したい(16歳)
診断:Class 3 叢生歯列弓
抜歯部位:上下左右4番抜歯
※矯正装置はクリアブラッケット(表のタイプ)を使用
歯を動かす期間は2年5ヶ月
矯正基本料は57万円+消費税
処置料¥5,000+消費税×2年6ヶ月
矯正治療のリスクや副作用:カリエスの可能性、歯肉炎の可能性
診断:Class 3 叢生歯列弓
抜歯部位:上下左右4番抜歯
※矯正装置はクリアブラッケット(表のタイプ)を使用
歯を動かす期間は2年5ヶ月
矯正基本料は57万円+消費税
処置料¥5,000+消費税×2年6ヶ月
矯正治療のリスクや副作用:カリエスの可能性、歯肉炎の可能性



主訴:ガタつきを治したい(13歳)
診断:Class 1 叢生歯列弓
抜歯部位:上下左右4番抜歯
※矯正装置はメタルブラケット(表のタイプ)を使用
歯を動かす期間:2年4ヶ月
矯正基本料は52万円+消費税
処置料¥5,000+消費税×2年4ヶ月
矯正治療のリスクや副作用:カリエスの可能性、歯肉炎の可能性
診断:Class 1 叢生歯列弓
抜歯部位:上下左右4番抜歯
※矯正装置はメタルブラケット(表のタイプ)を使用
歯を動かす期間:2年4ヶ月
矯正基本料は52万円+消費税
処置料¥5,000+消費税×2年4ヶ月
矯正治療のリスクや副作用:カリエスの可能性、歯肉炎の可能性


主訴:出っ歯を治したい(20歳)
診断:Class 2 上顎前突
抜歯部位:上顎左右4番抜歯
※矯正装置はクリアブラケット(表のタイプ)を使用
歯を動かす期間は2年5ヶ月
矯正基本料は57万円+消費税
処置料¥5,000+消費税×2年5ヶ月
矯正治療のリスクや副作用:カリエスの可能性、歯肉炎の可能性
診断:Class 2 上顎前突
抜歯部位:上顎左右4番抜歯
※矯正装置はクリアブラケット(表のタイプ)を使用
歯を動かす期間は2年5ヶ月
矯正基本料は57万円+消費税
処置料¥5,000+消費税×2年5ヶ月
矯正治療のリスクや副作用:カリエスの可能性、歯肉炎の可能性


主訴:反対咬合を治したい(16歳)
診断:Class 3 叢生歯列弓
抜歯部位:上下左右4番抜歯
※矯正装置はクリアブラッケット(表のタイプ)を使用
歯を動かす期間は2年5ヶ月
矯正基本料は57万円+消費税
処置料¥5,000+消費税×2年6ヶ月
矯正治療のリスクや副作用:カリエスの可能性、歯肉炎の可能性
診断:Class 3 叢生歯列弓
抜歯部位:上下左右4番抜歯
※矯正装置はクリアブラッケット(表のタイプ)を使用
歯を動かす期間は2年5ヶ月
矯正基本料は57万円+消費税
処置料¥5,000+消費税×2年6ヶ月
矯正治療のリスクや副作用:カリエスの可能性、歯肉炎の可能性

元来矯正治療は、健康目的で美容目的とは違います。
しかし図のように歯並びの変化もしくは顔つきの変化も含めると、美容的要素は関係ないとは言えません。
しかし図のように歯並びの変化もしくは顔つきの変化も含めると、美容的要素は関係ないとは言えません。




主訴:口元を下げたい(17歳)
診断:Class 1 上下顎前突
抜歯部位:上下左右4番抜歯
※矯正装置はリンガルブラケット(裏のタイプ)を使用
歯を動かす期間は2年6ヶ月
矯正基本料は95万円+消費税
処置料¥5,000+消費税×2年6ヶ月
矯正治療のリスクや副作用:カリエスの可能性、歯肉炎の可能性
装置が裏側の為、発音しづらい可能性
診断:Class 1 上下顎前突
抜歯部位:上下左右4番抜歯
※矯正装置はリンガルブラケット(裏のタイプ)を使用
歯を動かす期間は2年6ヶ月
矯正基本料は95万円+消費税
処置料¥5,000+消費税×2年6ヶ月
矯正治療のリスクや副作用:カリエスの可能性、歯肉炎の可能性
装置が裏側の為、発音しづらい可能性
E-Lineとは、鼻と顎を線で結んだEsthetic Lineの事です。
写真のように歯を適正な位置に動かす事で、自然で美しい
口元を得る事ができます。



元来矯正治療は、健康目的で美容目的とは違います。
しかし図のように歯並びの変化もしくは顔つきの変化も含めると、美容的要素は関係ないとは言えません。
しかし図のように歯並びの変化もしくは顔つきの変化も含めると、美容的要素は関係ないとは言えません。




主訴:口元を下げたい(17歳)
診断:Class 1 上下顎前突
抜歯部位:上下左右4番抜歯
※矯正装置はリンガルブラケット(裏のタイプ)を使用
歯を動かす期間は2年6ヶ月
矯正基本料は95万円+消費税
処置料¥5,000+消費税×2年6ヶ月
矯正治療のリスクや副作用:カリエスの可能性、歯肉炎の可能性
装置が裏側の為、発音しづらい可能性
診断:Class 1 上下顎前突
抜歯部位:上下左右4番抜歯
※矯正装置はリンガルブラケット(裏のタイプ)を使用
歯を動かす期間は2年6ヶ月
矯正基本料は95万円+消費税
処置料¥5,000+消費税×2年6ヶ月
矯正治療のリスクや副作用:カリエスの可能性、歯肉炎の可能性
装置が裏側の為、発音しづらい可能性
E-Lineとは、鼻と顎を線で結んだEsthetic Lineの事です。
写真のように歯を適正な位置に動かす事で、自然で美しい
口元を得る事ができます。



矯正治療は全国どこでも基本として、自費診療となります。
例外として、顎変型症(ope cace)など手術を必要とされる場合は、健康保険
適応となります。症状により費用がことなる事があります。
医療費控除が適応されます。
例外として、顎変型症(ope cace)など手術を必要とされる場合は、健康保険
適応となります。症状により費用がことなる事があります。
医療費控除が適応されます。

毎月一回(3~4週に1回)の割合で通っていただき、一般的に約1~2年
(動的治療)は、装置は外せません。
期間は、ひとりひとりの患者さんの状態や、子供、大人でも異なります ので、精密検査後に十分な説明を受けてください。
(動的治療)は、装置は外せません。
期間は、ひとりひとりの患者さんの状態や、子供、大人でも異なります ので、精密検査後に十分な説明を受けてください。

最近仕事、語学留学などで海外にて矯正治療を受けたいとの相談も増えて
きました。ここでは、アメリカを例として紹介します。
アメリカで矯正治療を受ける場合は、通常矯正専門歯科にて治療を受ける 事が多く、これは歯科医師の免許をもっていれば誰でも自由に矯正の看板を だせる日本とは異なり、アメリカでは矯正専門医でないと矯正歯科の看板をだすことができないからです。これに関しては日本では法規制がない為、 各医院の考え方により、治療の質に多くの問題点を抱えております。
きました。ここでは、アメリカを例として紹介します。
アメリカで矯正治療を受ける場合は、通常矯正専門歯科にて治療を受ける 事が多く、これは歯科医師の免許をもっていれば誰でも自由に矯正の看板を だせる日本とは異なり、アメリカでは矯正専門医でないと矯正歯科の看板をだすことができないからです。これに関しては日本では法規制がない為、 各医院の考え方により、治療の質に多くの問題点を抱えております。