インプラント矯正
(歯科矯正用アンカースクリューを使用した矯正治療)
 
歯科矯正用アンカースクリュー矯正とは、
顎の骨に 打ち込んだ直径1.5mm程度のごく小さなチタン製のネジを固定源として、歯を引っ張り歯列を整える矯正治療法です。ワイヤーを使って、歯そのものを固定源として行う通常の矯正治療よりも歯の動きが安定しますので、症例にもよりますが治療期間を短縮することができます。この歯科矯正用アンカースクリューは、歯を失った 症例に使用する人工歯(デンタルインプラント)とは違って、取り付けるにあたっての時間はごくわずかで、さらに痛みもほとんどありません。また歯列の移動終了し、取り外しも短時間で終わり傷口は2~3日で直ります。当クリニックでも8年程前より利用するようになり、臨床効果も良好なテクニックです。
形状は、下記に示すような物で、安全性が非常に高い点がなによりです。

歯科矯正用アンカースクリュー
生体への害が無く、骨との親和性が高いチタンで作られています。
矯正治療では、この歯科矯正用アンカースクリューを顎の骨に埋入し、図の
ように固定源として
歯を移動します。
 
 

インプラント矯正
(歯科矯正用アンカースクリューを使用した矯正治療)
 
歯科矯正用アンカースクリュー矯正とは
顎の骨に打ち込んだ直径1.5mm程度のごく小さなチタン製のネジを固定源として、歯を引っ張り歯列を整える矯正治療法です。ワイヤーを使って、歯そのものを固定源として行う通常の矯正治療よりも歯の動きが安定しますので、症例にもよりますが治療期間を短縮することができます。この歯科矯正用アンカースクリューは、歯を失った症例に使用する人工歯(デンタルインプラント)とは違って、取り付けるにあたっての時間はごくわずかで、さらに痛みもほとんどありません。また歯列の移動終了し、取り外しも短時間で終わり傷口は2~3日で直ります。当クリニックでも8年程前より利用するようになり、臨床効果も良好なテクニックです。
形状は、下記に示すような物で、安全性が非常に高い点がなによりです。

歯科矯正用アンカースクリュー
生体への害が無く、骨との親和性が高いチタンで作られています。
矯正治療では、この歯科矯正用アンカースクリューを顎の骨に埋入し、図の
ように固定源として
歯を移動します。
 
 

歯科矯正用アンカースクリュー矯正のメリットとデメリット

歯科矯正用アンカースクリュー矯正のメリット
・症例によっては矯正治療期間を短縮できます。
・矯正装置の装着を最小限におさえることもできます。(特に部分矯正など)
・矯正治療の期間が短縮されることで、治療費が軽減される場合も
 あります。
歯科矯正用アンカースクリューは直径1.5mm程度と、ごく小さなものですので、治療中の違和感は少なく、痛みもほとんどありません。
・当院にて、麻酔も要らず、簡単に痛みも無くはずせます。(2~3日で傷口は消えます)


歯科矯正用アンカースクリュー矯正のデメリット
・治療中に外れることがあり、その場合は、再度歯科矯正用アンカースクリューを埋め込む処置が必要となります。
・治療中は歯科矯正用アンカースクリュー埋込部位を清潔に保たないと、
 歯肉の炎症を起こすことがあ りますので注意してください。
歯科矯正用アンカースクリュー埋込後約20%の確立で脱落の可能性があります。
・骨が発育途中にあるお子様には適用できない場合があります。


歯科矯正用アンカースクリュー矯正のメリットとデメリット

歯科矯正用アンカースクリュー矯正のメリット
・症例によっては矯正治療期間を短縮できます。
・矯正装置の装着を最小限におさえることもできます。
(特に部分矯正など)
・矯正治療の期間が短縮されることで、治療費が軽減される場合もあります。
歯科矯正用アンカースクリューは直径1.5mm程度と、ごく小さなものですので、治療中の違和感は少なく、痛みもほとんどありません。
・当院にて、麻酔も要らず、簡単に痛みも無くはずせます。(2~3日で傷口は消えます)


歯科矯正用アンカースクリュー矯正のデメリット
・治療中に外れることがあり、その場合は、再度歯科矯正用アンカースクリューを埋め込む処置が必要となります。
・治療中は歯科矯正用アンカースクリュー埋込部位を清潔に保たないと、歯肉の炎症を起こすことがあ りますので注意してください。
歯科矯正用アンカースクリュー埋込後約20%の確立で脱落の可能性があります。
・骨が発育途中にあるお子様には適用できない場合があります。


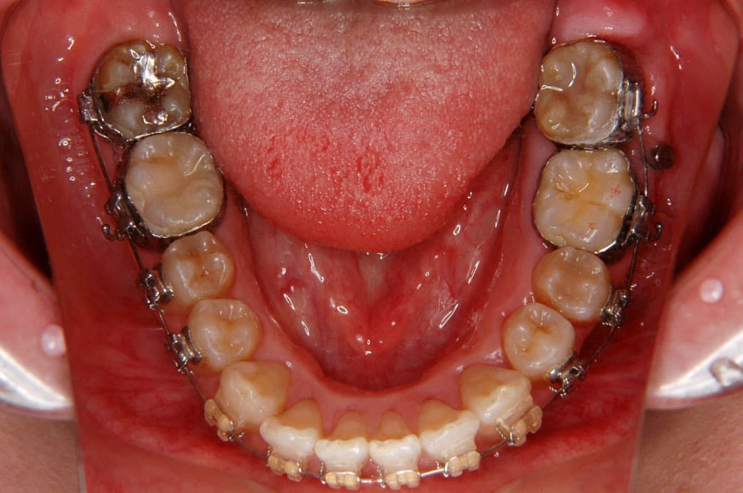
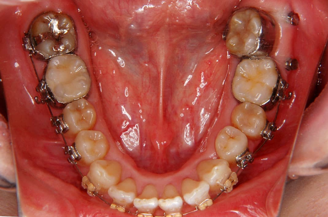
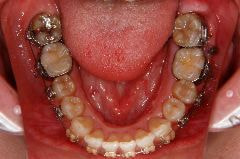
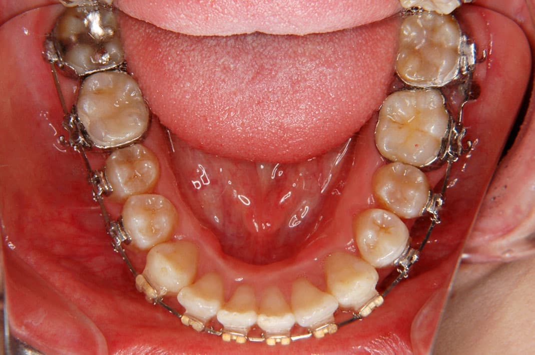
歯科矯正用アンカースクリューの使用例

例1)

➡︎
➡︎

 
例2)

➡︎
 
➡︎

歯科矯正用アンカースクリューの使用例

例1)

➡︎
➡︎

 
例2)

➡︎
 
➡︎