OPE+矯正
矯正治療では改善が困難な場合に行います。(保険適応)
従来歯列矯正は歯牙を移動して咬合の改善を行いますが、患者さんによっては、歯牙が位置している上下の土台の骨がずれて、噛み合なくなっている方がおられます。このような場合、歯牙のみではなく骨もずらし治療しなければ安定した噛み合わせに改善することは難しいとされています。治療の術式、費用(保険適応)などしっかりとした説明を受けて合意に基づき治療開始になります。
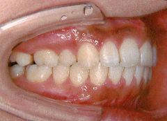
●下顎前突(うけ口)
下の顎(骨)と歯が上の顎(骨)と歯より前にでているので、良く噛めません。
顔つきも顎がしゃくれた様な感じになり、聞き取りにくい話し方になってしまいます。
OPE+矯正
矯正治療では改善が困難な場合に行います。
(保険適応)
従来歯列矯正は歯牙を移動して咬合の改善を行いますが、患者さんによっては、歯牙が位置している上下の土台の骨がずれて、噛み合なくなっている方がおられます。このような場合、歯牙のみではなく骨もずらし治療しなければ安定した噛み合わせに改善することは難しいとされています。治療の術式、費用(保険適応)などしっかりとした説明を受けて合意に基づき治療開始になります。
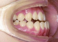
●下顎前突(うけ口)
下の顎(骨)と歯が上の顎(骨)と歯より前にでているので、良く噛めません。
顔つきも顎がしゃくれた様な感じになり、聞き取りにくい話し方になってしまいます。
●下顎前突(うけ口)
下の顎(骨)と歯が上の顎(骨)と歯より前にでているので、良く噛めません。
顔つきも顎がしゃくれた様な感じになり、聞き取りにくい話し方になってしまいます。
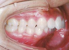
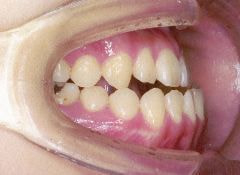
●上顎前突(出っ歯)
上の顎(骨)と歯が前に突き出ているので、良く噛めないばかりか意識していないと唇が閉じられない環境にあります。見た目もよくありません。
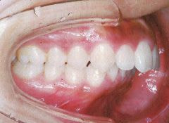
●上顎前突(出っ歯)
上の顎(骨)と歯が前に突き出ているので、良く噛めないばかりか意識していないと唇が閉じられない環境にあります。見た目もよくありません。